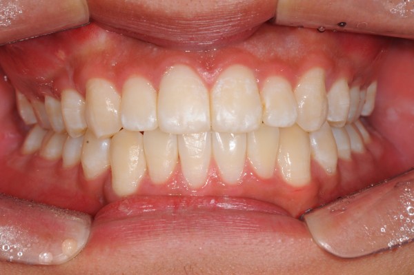
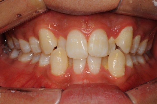
목록 글쓰기 치아교정 전체치아교정 페이지 정보 작성자최고관리자 작성일2025-07-18 본문 클리피씨, 365드림치과병원 댓글 0 댓글목록 등록된 댓글이 없습니다. 치료사례 카테고리 전체임플란트치아교정심미보철기타 Total 9건 1 페이지 게시물 검색 검색대상 제목+내용 제목 내용 작성자 검색어 필수 글쓰기 9 BEFORE AFTER 클릭 해주세요. 앞니 벌어짐 치아교정 8 BEFORE AFTER 클릭 해주세요. Smilefit 심미보철 심미보철 7 BEFORE AFTER 클릭 해주세요. Smilefit 심미보철 심미보철 6 BEFORE AFTER 클릭 해주세요. 전체교정 치아교정 열람중 BEFORE AFTER 클릭 해주세요. 전체치아교정 치아교정 4 BEFORE AFTER 클릭 해주세요. 전체 치아교정 치아교정 3 BEFORE AFTER 클릭 해주세요. 전체임플란트 임플란트 2 BEFORE AFTER 클릭 해주세요. 임플란트 재식립 사례 임플란트 1 BEFORE AFTER 클릭 해주세요. 하악 임플란트,치조골이식 임플란트 네이버 예약 협력기관 예약 MOU 카카오톡 상담 네이버 상담 + × TOP