01
365드림치과병원
병원 소개
의료진 소개
진료시간/오시는 길
02
기본을 지키는
통증&감염케어
03
병원장이 직접 진료하는
임플란트센터
전체임플란트
네비게이션 임플란트
고난도 임플란트
04
다양한 케이스도 완성도 높게
치아교정센터
치아교정센터
성장기교정
성인교정
실버교정
유학생/군인 교정프로그램
스피드 앞니 부분교정
브라켓 교정
인비절라인
05
자연스러운 아름다움
심미보철센터
06
자연치아를 오래동안 튼튼하게
보존치료센터
07
당일 발치 가능한
사랑니 발치
08
커뮤니티
이벤트
치료사례
유튜브
Q&A
협력기관
E-Magazine
1660-2811
01
365드림치과병원
병원 소개
의료진 소개
진료시간/오시는 길
02
기본을 지키는
통증&감염케어
03
병원장이 직접 진료하는
임플란트센터
전체임플란트
네비게이션 임플란트
고난도 임플란트
04
다양한 케이스도 완성도 높게
치아교정센터
치아교정센터
성장기교정
성인교정
실버교정
유학생/군인 교정프로그램
스피드 앞니 부분교정
브라켓 교정
인비절라인
05
자연스러운 아름다움
심미보철센터
06
자연치아를 오래동안 튼튼하게
보존치료센터
07
당일 발치 가능한
사랑니 발치
08
커뮤니티
이벤트
치료사례
유튜브
Q&A
협력기관
E-Magazine
*365드림치과병원을 처음 방문 하시는 분들은
12층
으로 오세요.
365 Dream
치료사례
치료사례 카테고리
전체
임플란트
치아교정
심미보철
기타
Total 9건
1 페이지
게시물 검색
검색대상
제목+내용
제목
내용
작성자
검색어
필수
글쓰기
9
BEFORE
AFTER
클릭 해주세요.
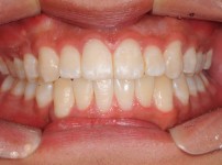
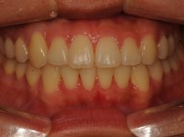
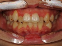
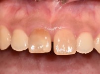
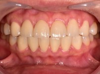
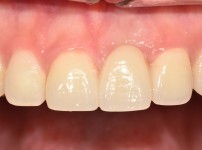
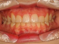
앞니 벌어짐
치아교정
8
BEFORE
AFTER
클릭 해주세요.
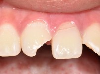
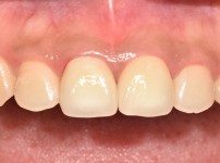
Smilefit 심미보철
심미보철
7
BEFORE
AFTER
클릭 해주세요.
Smilefit 심미보철
심미보철
6
BEFORE
AFTER
클릭 해주세요.
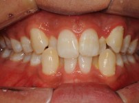
전체교정
치아교정
5
BEFORE
AFTER
클릭 해주세요.
전체치아교정
치아교정
4
BEFORE
AFTER
클릭 해주세요.
전체 치아교정
치아교정
3
BEFORE
AFTER
클릭 해주세요.
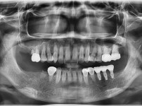
전체임플란트
임플란트
2
BEFORE
AFTER
클릭 해주세요.
임플란트 재식립 사례
임플란트
1
BEFORE
AFTER
클릭 해주세요.
하악 임플란트,치조골이식
임플란트
네이버 예약
협력기관 예약
MOU
카카오톡 상담
네이버 상담
+
×
TOP