*365드림치과병원을 처음 방문 하시는 분들은 12층으로 오세요.
치아교정
9층에 위치한 365드림치과병원의 스마일 치아교정센터는
대한민국 약 1.7% 뿐인 치과교정과 전문의와 치아교정 전담 스텝들이 치열 상태와 라이프 스타일,
연령대와 잇몸 상태까지 모든 부분을 고려한 맞춤 계획을 통해 치아교정을 진행합니다.




치아 콤플렉스가 있어요.
티 나는 교정장치가 부담스러워요.
통증과 긴 교정 기간이 걱정이에요.
숙련된 의료진과
전문 스탭
치과교정과
전문의 진료
분과별
협진 실시
니즈를 고려한
치아교정
자연스러운
교정 결과

적은 통증
탈부착 가능
짧은 교정 기간
심미적 교정
인비절라인은 미국에서 20 년간 투자끝에 개발된 투명교정방법으로 인비절라인을 진행하기 위해서는 인비절라인의 학회,
세미나 수료와 함께 투명교정에 대한 풍부한 경험과 실력을 인정받아 공식 인증 치과로 지정되어야만 진행할 수 있습니다.
365드림치과병원은 인비절라인 공식 인증을 받은 치과병원으로 치과교정과 전문의가
3차원 컴퓨터 프로그램을 통해 보다 미세하고 정확한 치아 이동을 재현하기 위한 진단과 치아교정을 진행합니다.

우리 아이의 삐뚤한 치아 1차 교정에는 인비절라인 퍼스트,
엄마, 아빠도 치열이 고르지 못하다면 인비절라인으로!
인비절라인은 어린이부터 어른까지 누구나 가능한 치아교정입니다.
클리피씨 교정장치는 자가결찰장치로 뛰어난 심미성과
치료기간의 단축을 포함하여 많은 임상결과와
높은 만족도를 자랑하는 치아교정 장치입니다.
365드림치과병원의 노하우로 보다 만족도 높은 치아교정과
건강하고 예쁜 결과를 제공합니다.




미니 튜브 형태의 현존하는 치아교정 브라켓 중
가장 작은 장치인 MTA는 심미성과
함께 적은 이물감으로 만족도가 높으며
부분 치아교정에 많이 쓰이는 교정 장치 입니다.


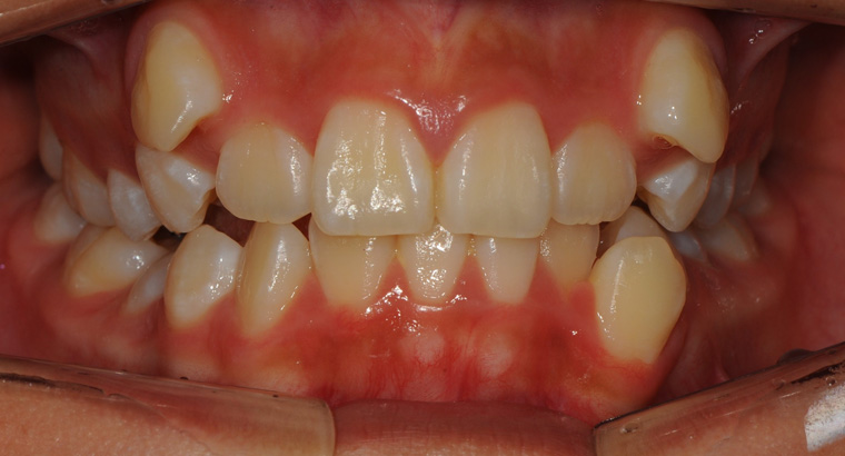
before

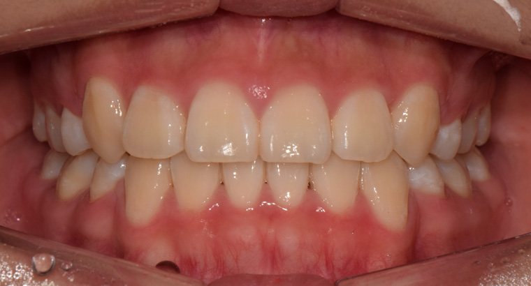
after





