*365드림치과병원을 처음 방문 하시는 분들은 12층으로 오세요.
심미보철
11층에 위치한 365드림치과병원의 심미보철 센터는
보철과 전문의와 함께 전담 의료진이 상주하고 있으며 자연치아와 유사하면서
심미, 기능을 살린 예쁜 보철물을 통해 자연치아를 유지하고 티나지 않는 예쁜 치아를 선사합니다.




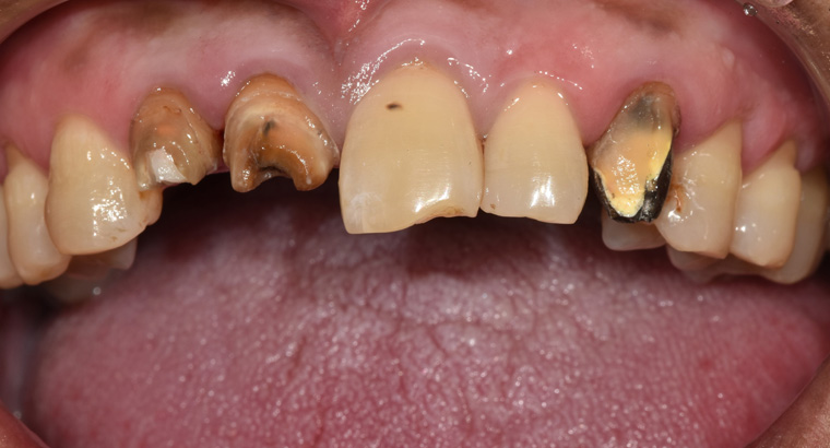
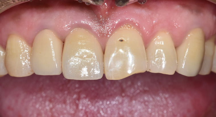
앞니가 깨졌어요.
작은 치아가 마음에 안들어요.
앞니가 변색되어 보기 싫어요.

필요한 만큼의 최소 삭제를 통한
라미네이트로 손상 없는 시술
O2 원내 기공소 보유와 3D CAD/CAM
밀링기를 통한 당일 보철물 제작


풍부한 노하우로
완성도 높은 결과
놓치기 쉬운 작은 틈부터 상/하악의 균형, 맞물림까지
미세한 부분까지 꼼꼼하게 진단하고 체크하여 제작합니다.
3D CAD/CAM, 세렉밀링기, 수준 높은 치기공사들을 통한
빠르고 정밀한 보철물을 제작합니다.
라미네이트보다 자연치의 삭제량은 좀 더 많지만 라미네이트가 불가한 경우
올세라믹을 통해 앞니 심미보철이 가능합니다.
| 라미네이트 | 구분 | 올세라믹 |
|---|---|---|
![]() |
치아 (옆모습) |
![]() |
| 1일 | 소요기간 | 1일 |
| 자연치 최대한 보존 가능함 | 장점 | 라미네이트보다 넓은 범위 시술 가능 |
| 보철물이 얇아 관리가 안될 경우 떨어지거나 파절됨 | 단점 | 라미네이트에 비해 많은 삭제량 |
| 무삭제 또는 최소한의 삭제 | 삭제량 | 앞, 옆, 뒤 |
| 치아 앞면에 얇은 세라믹팁을 부착 | 제작방법 | 세라믹을 치아 전체적으로 씌움 |
지르코니아는 자연광석에서 추출한 천연 세라믹을 1500℃ 이상의
고온에서 열처리 한 것으로 티타늄과 동일한 생체친화성을 가지고 있어서
정형외과 분야에서는 이미 20여년 전 부터 인공관절의 재료로 사용해 왔습니다.
치과 분야에서는 최근 이를 가공할 수 있는 장비가 개발됨으로써
차세대 보철재료로 각광 받고 있습니다.
E-MAX는 올세라믹의 한 종류로 지르코니아와 달리 세라믹 조각을 녹여
주물을 뜨는 방식으로 제작되는 것으로 정식 명칭은 Empress emax입니다.
주물을 뜨는 방식으로 제작되어 색이 예쁘며 밝은 투명도를 자랑합니다.
또한 강도가 좋아 쉽게 깨지지 않습니다.

before

after

before

after





